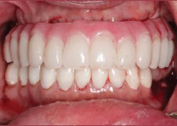
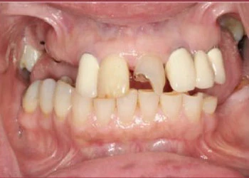
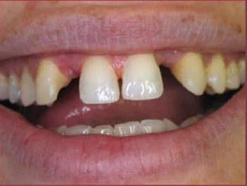
Dental Implant

A dental implant is a material in the form of tooth root, which is made of titanium compatible with the jawbone and surrounding tissues, which is applied to restore teeth lost due to caries, trauma or other reasons. It is a more comfortable, protective and permanent treatment method compared to porcelain veneer-bridges and removable prostheses in the fulfillment of aesthetic, speech and chewing functions.

Smile Design

Your smile is one of the most important indicators that reflect the mood of the person and affect the mood. One of the most important factors when designing a smile is age.

This design is an application that aims to obtain a beautiful smile with lips, teeth, aesthetically befitting the person. It is applied in a more practical way with changing technology and digital systems.

Zirconium Coating

What is Zirconium Porcelain?

Porcelain veneer is generally used in dental veneers. However, those who want an aesthetic appearance and a more comfortable use now prefer zirconium coating. When the zirconium material undergoes various processes and takes its final form, a solid and aesthetic workmanship emerges. It is possible to use this substance on both anterior and posterior teeth. This application, which is included in the metal-free coating group, also eliminates the problem of tooth sensitivity. Zirconium is a treated material. This product, which is obtained by making use of technology, differs from other coatings in many ways.

Dental Radiology

Radiography has a very important place for dental and oral health. Dental radiology assists dentists in diagnosing problems in the teeth and jaw.

With dental radiography, caries, bone loss and problems in the root canal, which cannot be noticed in the examination, can be easily detected. X-rays also assist dentists in orthodontic treatment and implant placement.

Free Consultatıon for Internatıonal Patıents

Let’s plan your treatment together. Get in touch with our team now.